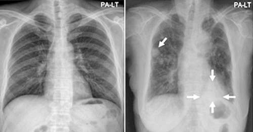
폐암은 흡연자의 경우 비흡연자보다 폐암이 발생할 가능성이 훨씬 높으며, 폐암이 무서운 이유는 사망률이 85퍼센트가 확진 후 5년 안에 사망할 정도로 높기 때문입니다. 폐암은 한국에서 두 번째로 흔한 암으로 아주 무서운 질환입니다. 말 그대로 폐의 악성종양을 뜻하고 장기간 흡연하는 흡연자에게 특히나 발병율이 높으며 최근에도 여러 환경적 요인에 의해 발병하며 있습니다.






폐암 원인
폐암 원인에는 여러가지 원인이 있습니다. 유전적 요인, 환경적 요인 등이 있고 암은 먼저적으로 가족력이 있으면 남들보다 이른 나이부터 계속해서 검사를 받고 관리가 필요하며 갖 환경적 요인으로 인해서 흡연을 하지 않는 여성에게도 폐암이 풍부하게 나타나고 있는 점을 고려할 때 주방에서 가스레인지로 조리시 나오는 갖가지 발암물질 등으때문에 폐암이 병이 발생율이 높아진 것으로 알려져 있습니다.유전적, 환경적 요인 이외에 폐암 대표 원인이 되는 흡연은 직간접적으로 영향이 강해서 폐암 원인과 떼어놓을 수 없는데 폐암을 판정 받는 환자 70퍼센트는 흡연에 의한 것으로 체크되고 있어 간접 흡연으로 인한 피해와 본인 건강을 위해서도 금연을 하는 것이 중요합니다.
폐암 초기증상 10가지
1.호흡곤란
폐암 초기증상 첫번째는 호흡곤란입니다.폐암 환자의 25퍼센트에서 나타나는 일반적인 증상으로 호흡곤란이 일어나는 이유는 다발성 폐전이가 폐 양쪽에서 관찰되는 경우 일어날 수 있으며 폐암과 거기에다가 악성 흉수가 같이 다가오게되는 경우 발생합니다. 평소와는 달리 숨이 차는 느낌이 들면서 숨을 들이쉬고 내쉴때 쌕쌕 거리는 소리나 나온다면 폐암 초기증상을 의심해 볼 수 있습니다.






2.가슴 통증
폐암 초기증상 두번째는 가슴통증입니다. 폐암 환자의 약 3분의 1이 고통을 느낀다고 합니다. 폐 제일자리에 폐암이 발생하다 보면 암세포가 흉막과 흉벽을 침범해 찌르는 듯한 통증을 유발합니다. 암이 더 진행되면 진행될 수록 통증이 더 계속됩니다. 갈비뼈까지 퍼지는 통증의 경우로 볼 수 있습니다.위치에 따라 요통으로도 진행이 되기도 합니다. 흉통이 생기는 곳은 폐의 제일자리에 폐암이 일어날 때 나타나고 흉막에 암이 인접해 위치하다 보면 바늘로 콕콕 찌르는 듯한 흉통을 느끼게 되며 폐암이 갈비뼈나 다른 부위로도 전이될 해당에도 흉통이 발생하고 요통으로도 발전할 수 있습니다.
3.부종
폐암 초기증상 세번째는 부종입니다.폐암은 림프절 전이가 될 수 있다고 하는데 이러한 경우에 대정맥을 압박할 수도 있으며, 혈류 장애 등을 유발할 수 있으기 때문에 혈액이 정확하게 순환하지 못하고, 전반적으로 상반신에 머물게 되어 시간이 지날수록 얼굴과 목, 팔 등이 붓는 증상인 부종으로 체크될 수 있습니다. 간혹 가슴 부위의 피부가 푸르스름한 색으로 보이기도 하며, 관절 통증을 유발할 수도 있습니다.






4.구토와 두통
폐암 초기증상 네번째는 구토와 두통입니다.폐암의 경우에 뇌로 전이하는 경우가 매우 많다고 합니다. 암세포가 뇌의 신경을 자극 함에 따라 이상 증상이 나타나게 됩니다만, 대표적증상으로 구토와 두통을 둘 수 있습니다. 뇌 손상과 함께 머리 전체 그리고 는 부분 통증이 발생하여 빈번한 구토 증상이 반복 됩니다.
5.면역력 저하
폐암 초기증상 다섯번째 면역력 저하입니다. 면역체계는 우리 몸을 감염 등으로부터 보호하는 역할을 하지만 우리는 항상 감염의 위험에 처해 있습니다. 특히 면역력이 저하 된다면 몸을 약화시키고 감염 가능성을 높일 수 있습니다. 폐암도 마찬가지로 면역력이 저하한다면 폐렴, 기관지염 등의 폐 감염이 나타날 확률이 높아집니다.






6.상대정맥 증후군
폐암 초기증상 여섯번째는 상대정맥 증후군입니다. 상대정맥 증후군은 상대정맥이 막혀 피가 순환하지 않을 때 나타나는 여러가지 증상을 말합니다. 이 상정맥 주변에서 폐암이 발병하는 경우 상정맥을 압박하는 동시에 증상들이 나타나고 머리와 팔의 부종, 혈액순환 장애, 호흡곤란 및 흉통등으로 이어질 수 있습니다.
7.혈담
폐암 초기증상 일곱번째는 혈담입니다.혈담은 기침 후에 피가 나오 거나 가래에 피가 섞여 있는 것을 말합니다. 혈담은 반드시 폐암이 아니어도 나타날 수 있습니다. 하지만 폐암 초기 증상의 혈담은 선홍색의 비교적 선명한 피가 나오는 것을 의심해 봐야 합니다. 이는 암세포 때문에 폐가 괴사하기 때문입니다. 이 증상은 폐암 초기보다는 암세포가 확장되었다고 보는 것이 좋습니다. 폐암 환자의 25% 가 혈담을 했다는 통계가 있습니다.






8.잔기침
폐암 초기증상 여덟번째는 잔기침입니다.평소 보다 잔기침이 많아지면 위험합니다. 폐에 문제가 생겼다는 신호 중 하나입니다. 그리고 폐암은 초기 발견이 어렵다고 하니 보다 세심한 관찰이 필요합니다.
9.체중 감소
폐암 초기증상 아홉번째는 체중감소입니다. 특히 이유없이 체중이 감소하는 것은 대부분의 암의 일반적인 증상 입니다. 폐암의 증상에도 갑작스런 체중 감소가 포함되어 있습니다. 한 연구에 따르면 성인암 그리고 는 소화관암 환자를 대상으로 확인 한다면 참가자의 34.1% 정도 가 암 진단을 받았을 때 체중 감소를 경험했다고 합니다. 암 치료 전의 체중 감소는 생존 확률을 저하시킬 가능성이 있습니다. 암에 의해 식욕이 손실 되거나 , 면역 환경이 저하되거나, 호르몬 , 대사 등의 변화가 원인이 될 수 있습니다. 최근 식사량을 줄이거나 식사 관리를 하지 않은데 평소 체중의 5% 이상의 체중 감소가 있는 경우는 꼭 병원을 방문 해 보시길 바랍니다.






10.음성 변화
폐암 초기증상 열번째는 음성 변화입니다. 암이 기관지와 성대를 향해 퍼져 신경을 손상 시킬 수 있습니다. 그러면 목소리가 바뀌거나 성대가 마비되는 증상이 나타납니다. 평소 와 달리 쉬는 목소리가 나오지만 많은 분들이 감기로 생각해 힘들지 않은 것같이 보이는 경우가 많습니다. 그러나 신체나 고열 등이 없는 상태을 통해서 목소리가 계속 변하고 있다면 건강상태를 점검해 보시는것을 추천드립니다.
함께 읽으면 도움되는 글
오미자 효능 12가지 (오미자청 만들기)
n> 다섯가지의 맛을 낸다는 오미자를 알고 계시나요? 예전에는 오미자를 주로 감기약, 이뇨제, 강장제 등 약으로 썼지만 최근들어서는 오미자청을 만들어 먹거나 오미자청이나 말린 오미자를 이
health9900.exalt.co.kr
콜라비 효능 (콜라비 먹는법)
콜라비는 십자 화목 배춧과에 속하는 채소입니다. 저온성 2년생 채소로 양배추, 콜리플라워, 브로콜리, 케일 등과 같은 종이에요. 콜라비는 비타민C 함유량이 상추나 치커리보다 무려 4~5배가량
health9900.exalt.co.kr
땅콩 효능10가지(땅콩 알레르기)
땅콩 즐겨 드시나요?? 견과류즁에 가격도 저렴하고 흔히 접할 수 있는 땅콩입니다. 이 땅콩에 좋은 효능들이 있다고 합니다. 오늘은 땅콩 효능에 대해 알아보겠습니다. 땅콩이란? 원산지가 남아
health9900.exalt.co.kr
댓글